Invisalign Milwaukee
Clear Aligners. Expert Hands. Predictable Results.
- Board-certified dentists guiding every step of treatment
- Choose from ClearCorrect® or Invisalign®
- 3D digital imaging for a comfortable, precise fit
- 12–18 month treatment with consistent doctor oversight

“I couldn't be happier.” Real 5-Star Reviews
Highly recommend! My case was complicated and I struggled to find a dentist willing to help. Dr. Cathy listened and worked with me to develop a solid plan for transforming my smile. The level of care here was awesome, Dr. Cathy and Lindsay care about clients and work hard to make treatments as comfortable as possible.
View On GoogleI can’t say enough about my positive experience with Dr Don and team at Czaplicki Family Denistry. Dr Don is an extremely capable professional who put me right at ease. His attention to detail and skill really shine through in my results and I couldn’t be happier. The energy in the office is relaxed and calming and their follow up is exempliary. So glad I found my way here!
View On GoogleCurious About Clear Aligner Treatment? Let’s Talk
If you’ve been thinking about straightening your teeth but aren’t sure which option is right, our board-certified dentists are here to guide you. Every aligner case is designed and overseen by the same trusted providers, not outsourced to an app or remote service. That means you’ll always know exactly who is planning, monitoring, and celebrating your progress.
Whether you’re a good candidate for ClearCorrect®, Invisalign®, or even traditional braces, we’ll explain the advantages of each and recommend a treatment that fits your timeline, budget, and goals. Our advanced 3D imaging technology allows us to show you a preview of your potential results before treatment even begins, giving you the confidence to take the next step.
Don’t put off the smile you’ve been wanting. Our office in Hales Corners proudly serves patients throughout the greater Milwaukee area, and we’re always welcoming new patients. Schedule a consultation today and discover how comfortable, discreet, and predictable clear aligner treatment can be.

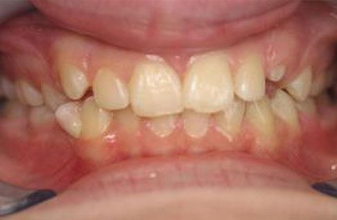
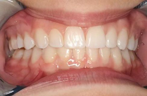
Am I a Candidate for Clear Aligners?
Permanent Teeth Are Required
Teens and adults with fully developed permanent teeth may qualify for Invisalign® or ClearCorrect® as a discreet alternative to braces.
Commitment Is Key
Aligners only work if worn consistently. Patients who can keep track of their trays — and wear them as directed — will see the best results.
Healthy Smiles First
Any issues like cavities or gum disease should be treated before beginning orthodontic care. A healthy foundation ensures aligners can do their job effectively.
How Do Clear Aligners Work? A Treatment Timeline
Invisalign and ClearCorrect are both orthodontic systems that use a series of plastic aligner trays to gradually bring the teeth into alignment. When patients from Milwaukee, WI, choose either of these treatment options at our dental practice, they can expect a treatment timeline similar to this:
Most Invisalign treatment plans produce results in around 12 to 18 months.
More High Praise for Our Milkwaukee Team
Thank you AGAIN Dr. Don for giving your immediate attention to my concern. Dr. Don is a "Top Doctor" who listens carefully and makes sure he understands your needs first.
View On GoogleDr. Van Kleunen made me feel at ease and comfortable within minutes of meeting her. As a nervous dental patient- she was understanding, thorough and kind and so knowledgable.
View On Google








:quality(64)/https://d1l9wtg77iuzz5.cloudfront.net/assets/2688/319219/original.jpg?1602176766)
:quality(64)/https://d1l9wtg77iuzz5.cloudfront.net/assets/2688/319217/original.jpg?1602176763)



